24.03.2026r. w Szpitalu Specjalistycznym w Kościerzynie wykonano po raz pierwszy operację zespołu Dunbara (MALS tj. Median Arcuate Ligament Syndrome).
Zespół Dunbara to rzadkie schorzenie polegające na ucisku pnia trzewnego przez więzadło łukowate przepony, co może prowadzić do przewlekłych dolegliwości bólowych jamy brzusznej, zwłaszcza po posiłkach, a także do utraty masy ciała.

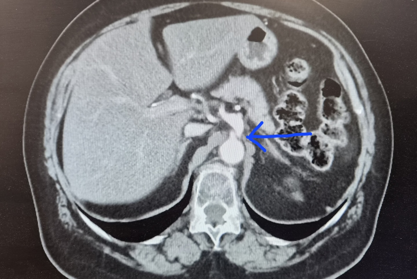
Obraz TK jamy brzusznej: strzałka wskazuje na pień trzewny (truncus coeliacus) czyli krótkie, ale kluczowe naczynie odchodzące od aorty brzusznej, które zaopatruje w krew m.in. wątrobę, żołądek i śledzionę. Zespół Dunbara polega właśnie na ucisku tego naczynia (pnia trzewnego) przez więzadło łukowate przepony, co daje dolegliwości bólowe brzucha, szczególnie po spożyciu posiłków.
Leczenie operacyjne polega na odbarczeniu uciśniętego naczynia poprzez przecięcie więzadła, co przywraca prawidłowy przepływ krwi i prowadzi do ustąpienia objawów. Dla pacjentów oznacza to przede wszystkim szansę na znaczną poprawę jakości życia.
Dzięki zastosowaniu tej metody terapeutycznej możliwe jest zredukowanie lub całkowite ustąpienie bólu, powrót do normalnego odżywiania oraz odzyskanie utraconej masy ciała. Prowadzenie tej procedury w naszym szpitalu zwiększa dostępność nowoczesnego leczenia bez konieczności kierowania chorych do odległych ośrodków. Wykonany pierwszy zabieg stanowi istotny krok w rozwoju naszego ośrodka oraz poszerzeniu zakresu nowoczesnych metod leczenia pacjentów z rzadkimi schorzeniami naczyniowymi.
Operację przeprowadzili: Prof. dr hab. n. med. Wojciech Makarewicz, lek Piotr Wiśniewski oraz lek. Paweł Ulasiński. Znieczulenie ogólne zapewnił lek. Piotr Kropidłowski. W skład zespołu operacyjnego wchodziły również pielęgniarki operacyjne: Lucyna Usarek, Ewa Wiśniowiecka oraz pielęgniarka anestezjologiczna Alina Golba.
Realizacja tak zaawansowanej procedury była możliwa dzięki ścisłej współpracy doświadczonego zespołu wielospecjalistycznego. Dziękujemy całemu zespołowi za profesjonalizm i zaangażowanie w rozwój wysokospecjalistycznej opieki medycznej.




